Datos del paciente: mujer de 71 años.
Presentación del caso: Antecedentes: Cirugia de reemplazo valvular aórtico un mes antes. Concurre a control postoperatorio. Niega fiebre, disnea u otro síntoma. Refiere astenia leve.

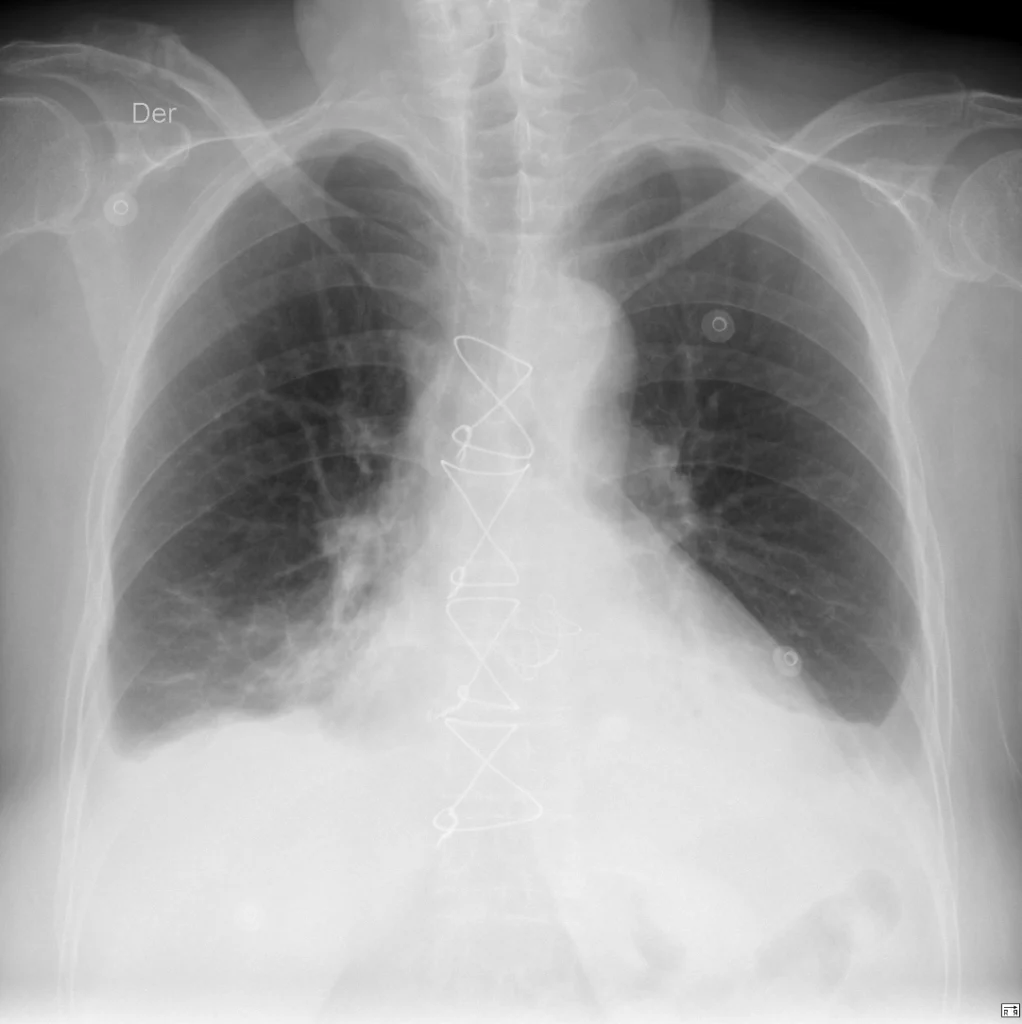
Rx de tórax PA. Los SCF laterales han perdido su aspecto en ángulo agudo habitual están ocupados por material radiopaco (trasudado). A la derecha el SCF se observa obtuso, pero a la izquierda, una curva de concavidad superior delimita el derrame pleural (signo del menisco). Otros hallazgos: sutura metálica esternal; válvula aórtica protésica; aumento del ICT.

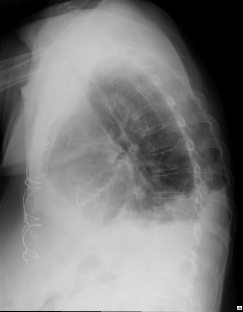
Rx de tórax L. El seno costofrénico posterior es, estrictamente hablando, el más declive. En la radiografía lateral, ambos (derecho e izquierdo) están ocupados por material radiopaco, indicando derrame pleural bilateral. Otros hallazgos: sutura metálica esternal; válvula aórtica protésica
Discusión del caso
La proyección PA de la radiografía de tórax se realiza con el paciente de pie. Por efecto de la gravedad, el material qué ocupa la cavidad pleural (en este caso trasudado – derrame pleural) ocupa inicialmente las zonas más declives. En la proyección PA, el primer signo es la ocupación de los senos costofrénicos (SCF) laterales. Cuándo el volumen del derrame crece, encontramos otro signo radiológico: el “signo del menisco”. Se observa como un borde en forma de “U” a medida que el líquido se eleva a lo largo de la pared lateral del tórax.
Los SCF laterales pueden seguir siendo agudos sí el derrame pleural es de pequeño volumen (menos de 200 cc). Si la sospecha es alta, evalúa en la proyección lateral los SCF posteriores. Recuerda que anatómicamente, estas son realmente las áreas más declives de los pulmones y del espacio pleural.
Puedes ver este caso en Pinterest.


