Fractura y luxación en los dedos de la mano

Datos del paciente: adulto joven

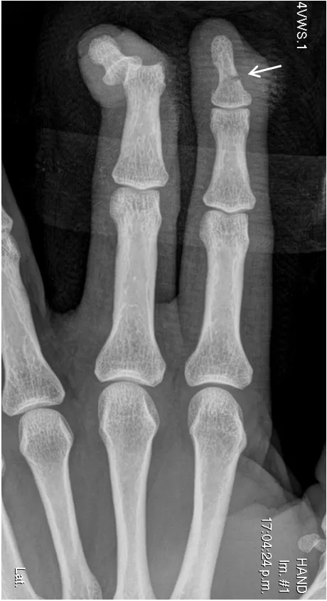
Presentación del caso: Traumatismo por aplastamiento de la mano.

Fractura y luxación en los dedos de la mano

Radiografía del segundo y tercer dedo de la mano.

Se indicó la radiografía como primer método. En la radiografía se confirmaron una fractura transversal no desplazada, en la diáfisis de la falange ungueal del segundo dedo, y una luxación de la articulación IFD del tercer dedo.

Discusión del caso

En la sistemática de lectura del aparato osteoarticular puedes usar lamnemotecnia ABCs para organizar la lectura.

Alignment – Alineación
Bones – Hueso
Cartilage – Cartílago, espacio articular
Soft Tissues – Partes blandas

Puedes ver este caso en Pinterest.

Artículos relacionados

Guía para interpretar una radiografía osteoarticular

Scroll al inicio