Datos del paciente: Hombre de 20 años.
Presentación del caso: Consulta por dolor en hemitórax izquierdo, continuo, de 12 hs de evolución, en reposo. Niega fiebre o cualquier otro signo o síntoma asociado. Antecedentes: neumotórax espontáneo grado II en hemitórax derecho un año antes.

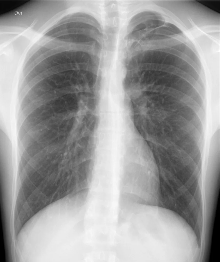
Rx de tórax PA en inspiración. En el ápice izquierdo se observa la hipertransparencia con ausencia completa de trama pulmonar, que indican la presencia de neumotórax. La fina línea radiopaca de la pleura parenquimatosa marca el límite inferior del neumotórax. Mediastino no desplazado.

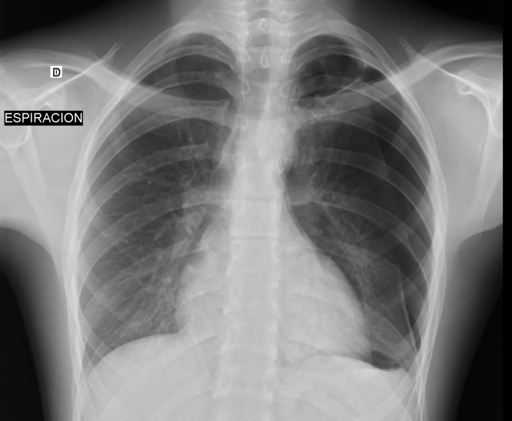
Rx de tórax PA en espiración. Se hace aún más evidente el neumotórax que puede ser infravalorado en la Rx en máxima inspiración, observándose en el sector superior pero también lateral del hemitórax izquierdo.

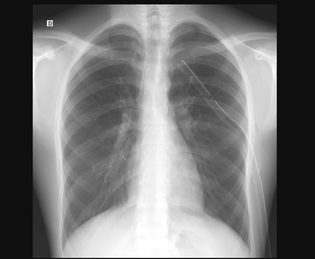
Rx de tórax PA post-tratamiento. Se colocó un tubo de drenaje en la cavidad pleural.
Discusión del caso
En este paciente joven, la clínica y el antecedente de un neumotórax un año antes orientaban a un diagnóstico presuntivo de neumotórax izquierdo. Sí bien era ya evidente en la proyección PA en máxima inspiración, en fase de espiración evidenció una mayor extensión del mismo. La proyección en espiración aumenta las posibilidades de identificar incluso neumotórax de pequeño volumen. Recuerda valorar la posición del mediastino: un mediastino desplazado hacia el lado contrario indica un neumotórax a tensión y requiere tratamiento urgente.
Puedes ver este caso en Pinterest.


