Datos del paciente: adulto joven
Presentación del caso: Traumatismo, palpacion de masas indoloras en el muslo distal. y alrededor de las articulaciones de la rodilla.

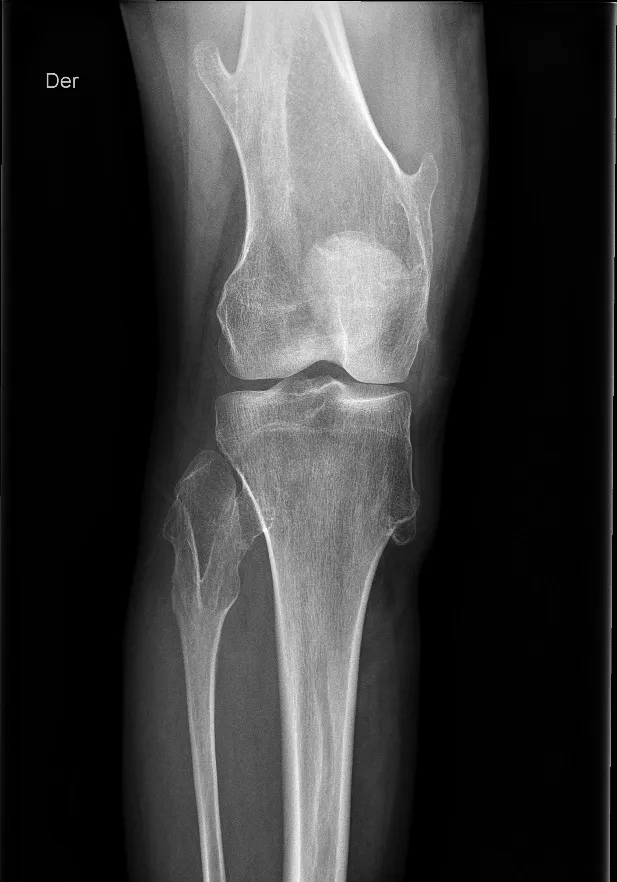
Rx de rodilla derecha en un paciente joven. Se observan múltiples exostosis en el fémur distal y la tibia proximal, que provocan, además, un ensanchamiento de la metáfisis del peroné proximal.
Discusión del caso
La exostosis hereditaria múltiple (EHM) es un trastorno autosómico dominante que se manifiesta por la presencia de múltiples osteocondromas, tumores benignos que sobresalen de la superficie ósea. Las exostosis pueden ser sésiles o pediculadas y se localizan en las metáfisis o cerca de ellas. Si bien los osteocondromas son lesiones benignas, en ocasiones provocan deformidades esqueléticas que, a su vez, pueden causar síntomas clínicos. Estas masas, inicialmente indoloras, pueden volverse dolorosas al comprimir tendones, músculos o nervios.
La complicación más grave es la posibilidad de que una exostosis sufra una transformación maligna en condrosarcoma. En pacientes con madurez esquelética, se debe medir el casquete cartilaginoso en RM. Si este tiene un grosor superior a 1 cm, existe un mayor riesgo de malignidad.
Puedes ver este caso en Pinterest.
