Datos del paciente: Hombre de 35 años.
Presentación del caso: Paciente de chequeo de salud.

Rx de torax PA: Silueta Cardiovascular. 1. Vena cava superior; 2. Aurícula derecha; 3. Botón aórtico; 4. Arteria Pulmonar; 5. Ventrículo izquierdo; 6. Hilio derecho; 7. Hilio izquierdo.

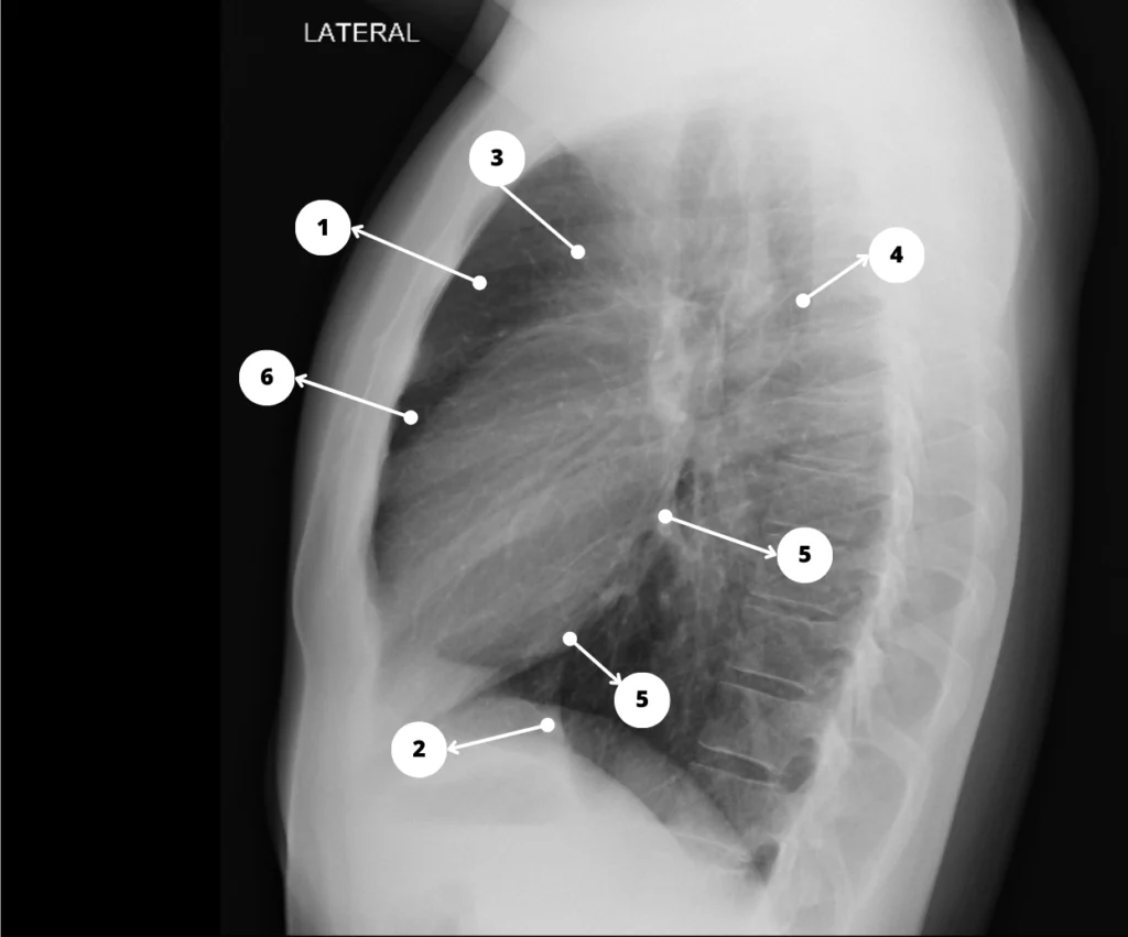
Rx de tórax lateral. Silueta cardiovascular. 1. Espacio claro retroesternal; 2. Ventrículo derecho; 3. Aorta ascendente; 4. Aorta descendente; 5. Aurícula izquierda; 6. Ventrículo izquierdo; 7. Vena cava inferior.
Discusión del caso
Radiografías de tórax normal en proyecciones PA y lateral de un paciente que concurre a un chequeo de salud. Se señalaron con números los contornos de la silueta cardiovascular, referenciando las estructuras que representan.
En la sistemática de lectura del tórax es importante evaluar los bordes de la silueta cardiovascular (C = Cardiovascular), que representan al corazón y los grandes vasos del mediastino.
Cualquier modificación en uno de estos arcos de la silueta cardiovascular puede ser un signo de patología. Por ejemplo, un arco cardiaco medio (izquierdo) prominente se observa en pacientes con hipertensión de la arteria pulmonar.
Los arcos que representan a las cámaras cardíacas se hacen prominentes cuando aumenta el volumen de la cavidad en cuestión.
Puedes ver este caso en Pinterest.
