Consolidación del lóbulo medio – Signo de la silueta positivo
Presentación
Hombre joven enviado con un diagnóstico de neumonía.
Edad:
N/A
Género:
Femenino
Radiología

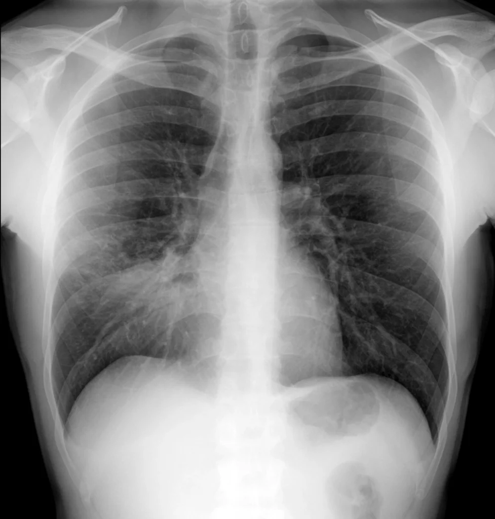
Rx de tórax PA. Consolidación en el tercio inferior del pulmón derecho, en localización paracardiaca. El borde del corazón no se identifica claramente. El signo de la silueta es positivo.
Radiología

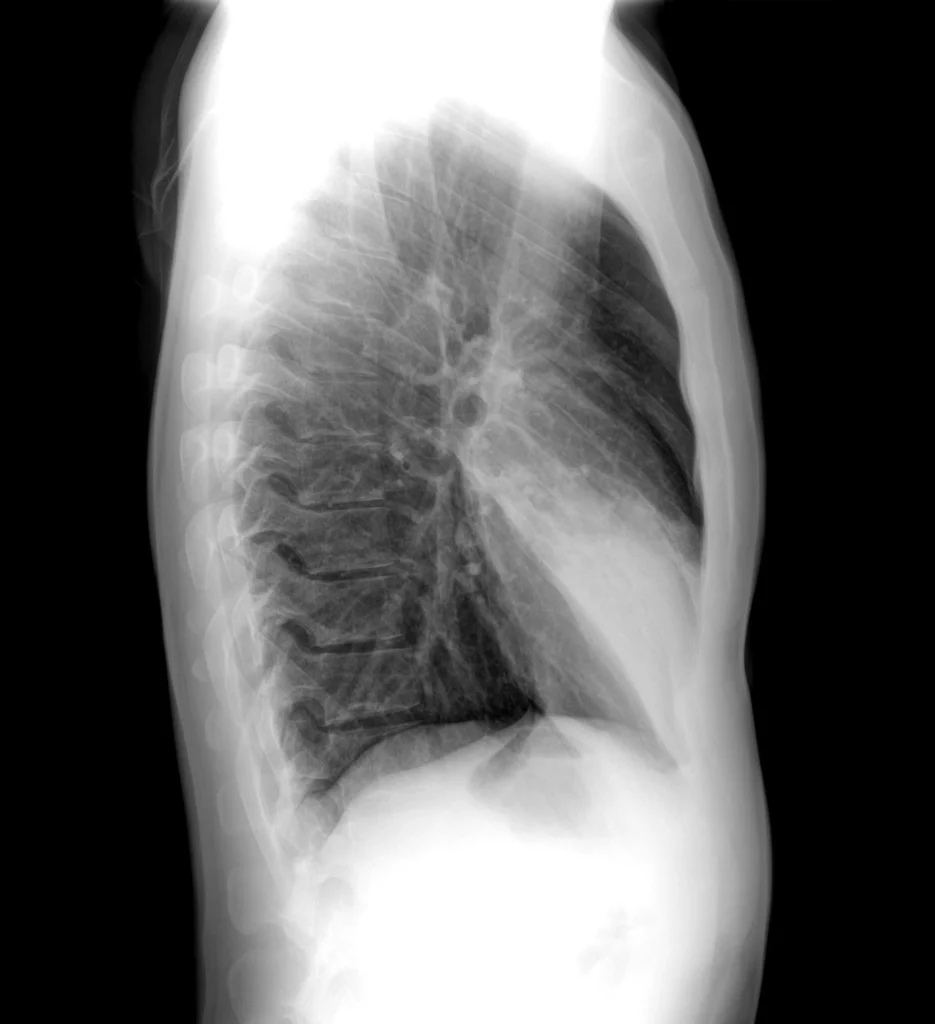
Rx de tórax lateral. La consolidación se proyecta sobre la silueta cardíaca, bien delimitada por las cisuras menor y mayor, confirmando la localización en el lóbulo medio.
Discusión
En la proyección PA, se observa una consolidación en el tercio inferior del pulmón derecho, que borra el contorno del corazón, el signo de silueta es positivo. En la proyección lateral se confirma la localización de la consolidación en el lóbulo medio, proyectada sobre la silueta cardíaca.
