Índice de Pavlov y Torg
Presentación
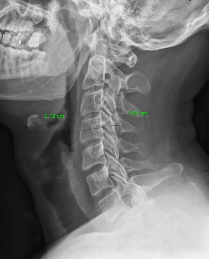
Imagen anotada
Edad:
N/A
Género:
Femenino
Radiología

El índice de Pavlov y Torg es la relación entre el diámetro del canal cervical y el ancho del cuerpo vertebral cervical al mismo nivel en una radiografía lateral de la columna cervical. En este ejemplo: 1.81 / 2.19 = 0.82
Discusión
Este caso ilustra el uso del índice de Pavlov–Torg (canal/cuerpo) como medición rápida en la radiografía lateral cervical para tamizar canal cervical relativamente estrecho. El objetivo de esta medición no es diagnosticar lesión medular, sino describir de forma morfométrica si el “espacio disponible” para la médula podría ser menor de lo esperado en un paciente o atleta expuesto a mecanismos traumáticos cervicales.
En la radiografía lateral cervical se realiza la medición del índice en los niveles C3 a C6. Para cada nivel se mide:
- Diámetro sagital del canal: desde el borde posterior del cuerpo vertebral hasta el límite posterior del canal (referencia laminar/espinolaminar, según técnica usada).
- Diámetro sagital del cuerpo vertebral en su punto medio.
Con esas dos medidas se calcula el cociente:
Índice Pavlov–Torg = canal / cuerpo vertebral.
