Titulo del caso
Presentación
Consulta por dolor anterior de la rodilla. Sin antecedentes de trauma.
Edad:
N/A
Género:
Femenino
Radiología
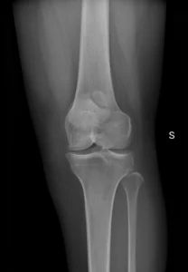
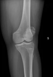
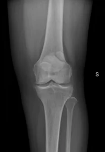
Las radiografias ap y oblicuas muestran Se identifica un fragmento óseo accesorio adyacente a la rótula, típicamente en el cuadrante superolateral, con bordes lisos y corticalizados, compatible con rótula bipartita (fallo de fusión de un centro de osificación).
Discusión
El valor de este caso es evitar un error muy frecuente: confundir rótula bipartita con fractura.
Pistas a favor de rótula bipartita:
-
Ubicación típica superolateral (la más frecuente).
-
Bordes redondeados y corticalizados (no “filosos” como en fractura aguda).
-
Ausencia de signos claros de trauma agudo en partes blandas (según contexto).
-
A veces es bilateral (si tienes el otro lado, puede ayudar).
La mayoría son asintomáticas, pero puede volverse sintomática (dolor anterior) sobre todo tras actividad o trauma; en ese caso, la RM puede mostrar edema de médula ósea cerca del fragmento, lo que apoya correlación clínica.
Diagnósticos Diferenciales
N/A
