Aparente aumento de la silueta cardíaca en la Rx en decúbito supino
Presentación
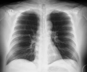
Paciente adulta hospitalizado que realiza una radiografía de tórax en decúbito supino, como parte de la evaluación clínica inicial.
Edad:
59
Género:
Femenino
Radiología
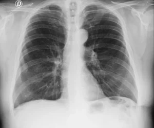
Radiografía de tórax en proyección anteroposterior (AP), obtenida en la cama del paciente, en decúbito supino, con inspiración subóptima. La segunda radiografia se obtuvo en proyeccion PA con el paciente de pie, observandose la silueta cardiaca de tamaño normal.
Hallazgos
La revisión del estudio se realiza de forma sistemática aplicando la mnemotecnia ABCDEF, teniendo en cuenta las limitaciones propias de la técnica.
A – Vía aérea
La tráquea se encuentra centrada, sin desviaciones significativas. La carina es identificable. No se observan alteraciones evidentes de la vía aérea central.
B – Pulmones
Los campos pulmonares no muestran opacidades focales definidas. La inspiración es subóptima, lo que condiciona una menor expansión pulmonar y limita parcialmente la valoración del parénquima.
C – Corazón y mediastino
La silueta cardíaca se observa aumentada de tamaño, con contornos conservados. La relación cardiotorácica se encuentra aumentada.
Este hallazgo debe interpretarse en el contexto de una proyección anteroposterior, que produce una magnificación aparente del corazón debido a la mayor distancia entre la estructura y el detector.
D – Diafragma
La evaluación de los hemidiafragmas se encuentra parcialmente limitada por la técnica. Los contornos no se visualizan con la misma nitidez que en una radiografía posteroanterior.
E – Espacios extrapulmonares
No se identifican signos evidentes de derrame pleural ni alteraciones extrapulmonares relevantes.
F – Revisión final
La parrilla costal, las clavículas y las estructuras óseas visibles no muestran lesiones evidentes. No se identifican hallazgos incidentales en partes blandas.
Discusión
Este caso ilustra el aparente aumento del tamaño de la silueta cardíaca observada en la radiografía de tórax obtenida en decúbito supino, en una proyección qué necesariamente es anteroposterior (AP).
En la proyección AP, especialmente en pacientes encamados, la silueta cardíaca se encuentra más alejada del detector, lo que produce una magnificación aparente del tamaño del corazón. Este efecto geométrico puede simular cardiomegalia en ausencia de un aumento real del tamaño cardíaco.
Por este motivo, la valoración del tamaño de la silueta cardíaca debe realizarse preferentemente en una radiografía PA obtenida en bipedestación. En la proyección AP, el hallazgo de un corazón aparentemente aumentado debe interpretarse con cautela y siempre en correlación con la técnica del estudio y la clínica del paciente.
Perla docente
La cardiomegalia aparente en una radiografía de tórax en proyección anteroposterior no debe interpretarse de forma aislada como aumento real del tamaño cardíaco.
