Bordes del cardiomediastino en la radiografía de tórax
Presentación
Radiografías de tórax normal
Edad:
N/A
Género:
Femenino
Radiología

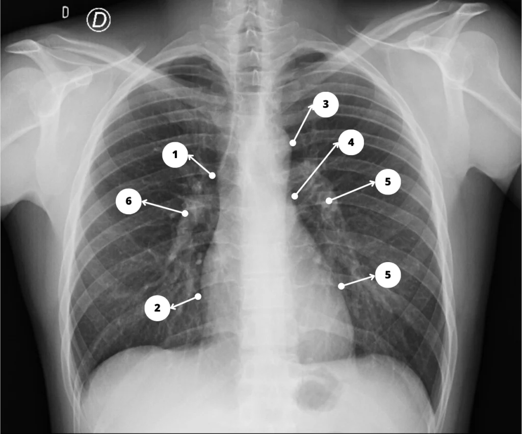
Mediastino en la Rx de tórax PA – 1. Vena cava superior; 2. Aurícula derecha; 3. Botón aórtico; 4. Arteria Pulmonar; 5. Ventrículo izquierdo; 6. Hilio derecho; 7. Hilio izquierdo.
Radiología

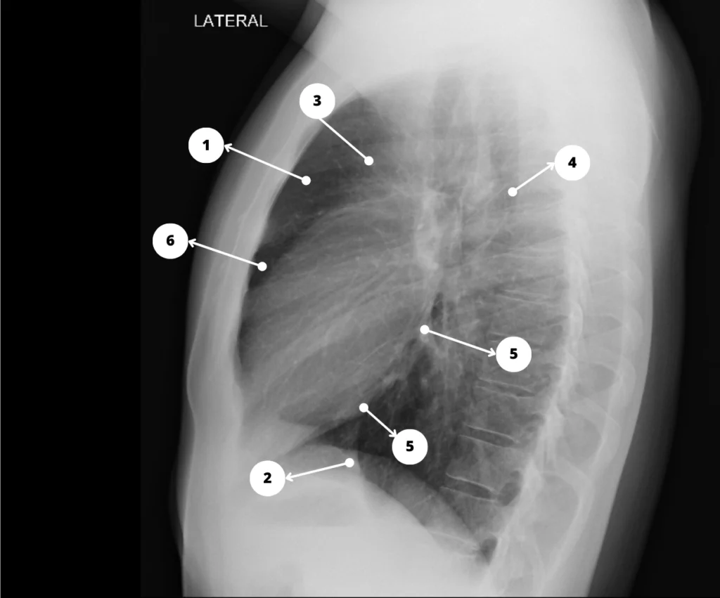
Mediastino en la Rx de tórax L – 1. Espacio claro retroesternal; 2. Ventrículo derecho; 3. Aorta ascendente; 4. Aorta descendente; 5. Aurícula izquierda; 6. Ventrículo izquierdo; 7. Vena cava inferior.
Discusión
La radiografía de tórax muestra contornos cardiomediastínicos normales. No se identifica masa pulmonar ni pleural.
Una comprensión profunda de las estructuras que normalmente contribuyen al contorno cardiomediastínico es esencial para poder interpretar las radiografías de tórax y localizar anomalías.
