Hernia hiatal
Presentación
Tos y reflujo gástrico
Edad:
N/A
Género:
Femenino
Radiología

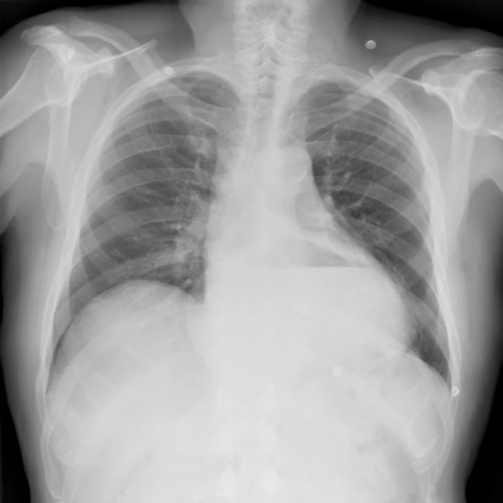
Rx de tórax PA. Se observa un nivel hidroaéreo superpuesto a la silueta cardiaca y ausencia de imagen del techo gástrico en proyección subfrénica izquierda, imagen sugestiva de hernia hiatal.
Radiología

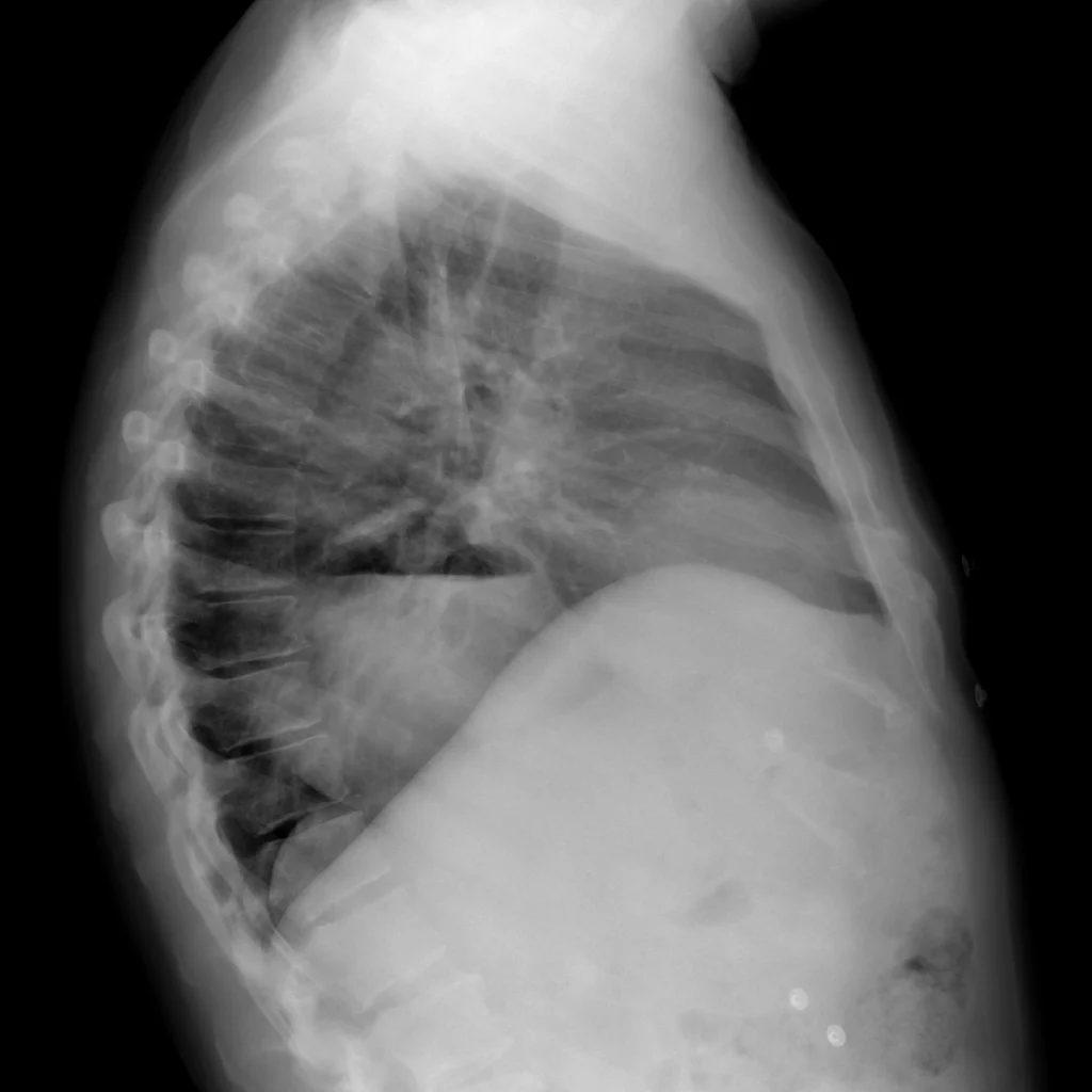
Rx de tórax LL. La proyección lateral confirma la posición posterior de la imagen, y demuestra una pared propia (la del estómago) confirmado el contenido mixto con nivel hidroaéreo.
Discusión
Las hernias hiatales ocurren cuando hay herniación del contenido abdominal a través del hiato esofágico del diafragma hacia la cavidad torácica. El contenido más común de una hernia de hiato es el estómago .
Muchos pacientes con hernia de hiato son asintomáticos y se trata de un hallazgo incidental. Sin embargo, los síntomas pueden incluir dolor epigástrico o torácico, sensación de plenitud posprandial, náuseas y vómitos.
A veces se considera erróneamente sinónimo de enfermedad por reflujo gastroesofágico (ERGE), a pesar de la escasa correlación entre ambas.
Diagnósticos Diferenciales
En una radiografía de tórax frontal considerar entre los diagnósticos diferenciales:
- Absceso pulmonar retrocardíaco
- Empiema retrocardíaco
- Divertículo esofágico epifrénico (de pulsión)
- Lesiones pulmonares cavitadas
- Hidroneumotórax
- Absceso en mediastino
- Absceso de la pared torácica
- Obstrucción esofágica / Acalasia
- Cambio postoperatorio: esofagectomía con procedimiento de elevación gástrica.
En el contexto de un traumatismo, considera la posibilidad de una ruptura diafragmática .
