Densidad aire en radiografía de tórax
Presentación
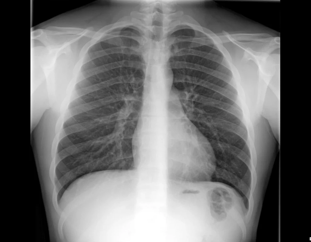
Radiografía simple de tórax utilizada como ejemplo docente para ilustrar la apariencia de la densidad aérea.
Edad:
19
Género:
Masculino
Radiología

Los campos pulmonares se observan ampliamente radiolúcidos, correspondientes a la presencia de aire, que constituye la densidad de menor atenuación en la radiografía convencional.
Discusión
Identificación de la densidad aire
El aire permite el paso de la mayor parte de los rayos X y, por lo tanto, se representa como áreas oscuras o negras en la imagen radiográfica.
En el tórax, la presencia de aire en los pulmones actúa como contraste natural y facilita la visualización de las estructuras mediastínicas.
Puntos clave
- El aire es la densidad más radiolúcida.
- Aparece de color negro en la radiografía.
- Constituye el punto de referencia inicial de la escala de densidades.
Artículos
Cómo presentar una radiografía
Esta es una guía general para describir correctamente un estudio radiológico antes de su interpretación….
Las cinco densidades radiológicas básicas
Las cinco densidades radiológicas básicas son el “alfabeto” de la radiografía: aire, grasa, agua/partes blandas,…
