Densidad grasa en radiografía de abdomen
Presentación
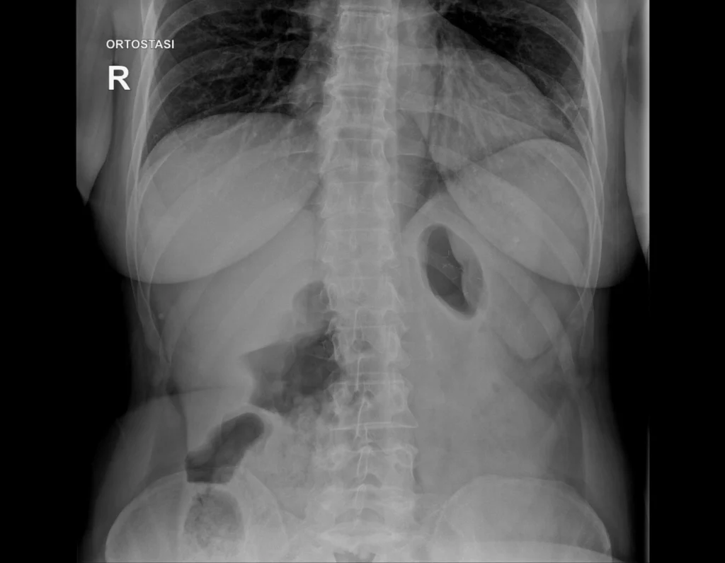
Radiografía simple de abdomen utilizada como ejemplo docente para identificar la densidad grasa y su rol como contraste natural.
Edad:
58
Género:
Femenino
Radiología


Se identifican áreas de densidad intermedia, ligeramente más radiolúcidas que las partes blandas, correspondientes al tejido adiposo, que delimita y separa las estructuras abdominales.
Discusión
Identificación de la densidad grasa
La grasa presenta una atenuación mayor que el aire y menor que las partes blandas, por lo que se visualiza como un gris oscuro en la radiografía.
Su presencia permite delimitar órganos y planos anatómicos, actuando como un contraste natural.
Puntos clave:
- La grasa es más radiolúcida que las partes blandas.
- Se visualiza como un gris oscuro.
- Facilita la identificación de estructuras abdominales.
Artículos
Cómo presentar una radiografía
Esta es una guía general para describir correctamente un estudio radiológico antes de su interpretación….
Las cinco densidades radiológicas básicas
Las cinco densidades radiológicas básicas son el “alfabeto” de la radiografía: aire, grasa, agua/partes blandas,…
