Densidad metálica en radiografía de caderas
Presentación
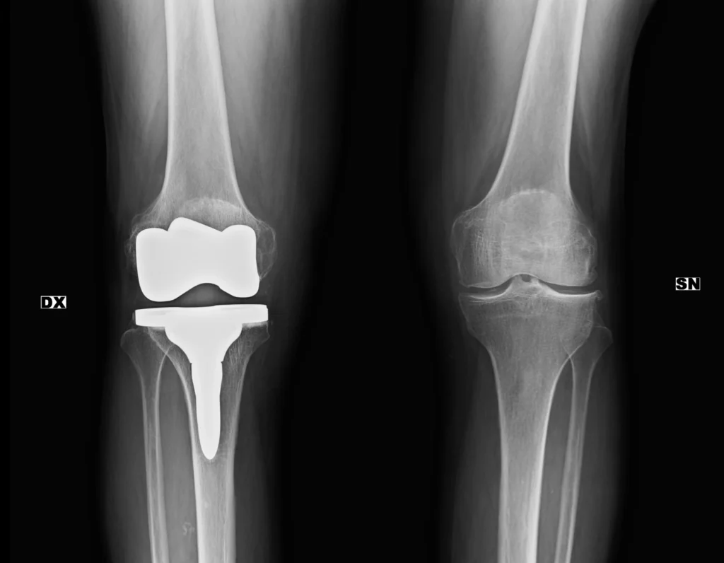
Radiografía simple de rodillas con prótesis metalica, utilizada como ejemplo docente para ilustrar la densidad metálica y su apariencia característica en la imagen radiográfica.
Edad:
79
Género:
Femenino
Radiología

Presencia de prótesis bicompartimental de rodilla derecha, las estructuras intensamente radiopacas, corresponden a material metálico, que presentan una atenuación máxima de los rayos X.
Discusión
Identificación de la densidad metálica
La densidad metálica constituye el extremo superior de la escala de densidades radiológicas y se representa como imágenes blancas intensas en la radiografía.
Su reconocimiento es inmediato y no suele generar ambigüedad diagnóstica.
Aprendizaje clave
- El metal es la densidad más radiopaca.
- Aparece blanco intenso.
- Puede generar artefactos.
Artículos
Cómo presentar una radiografía
Esta es una guía general para describir correctamente un estudio radiológico antes de su interpretación….
Las cinco densidades radiológicas básicas
Las cinco densidades radiológicas básicas son el “alfabeto” de la radiografía: aire, grasa, agua/partes blandas,…
