Litiasis en la vesícula biliar
Presentación
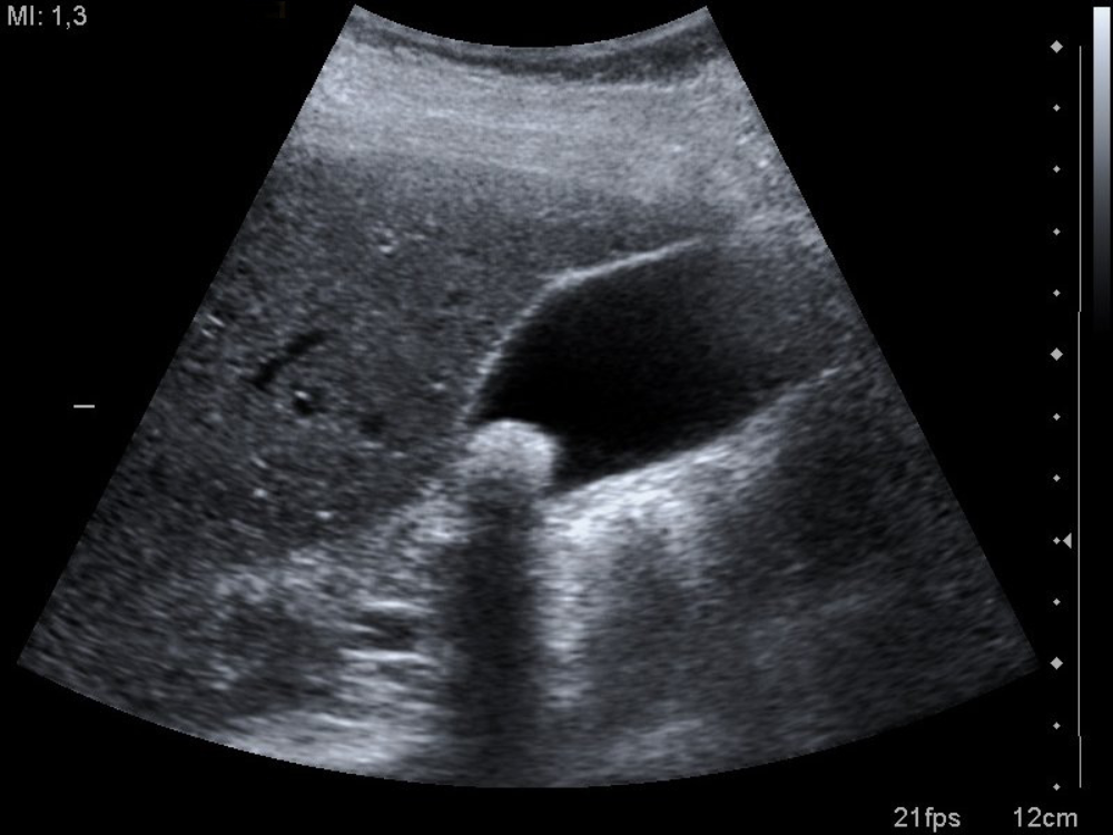
Ecografía de vesícula biliar con litiasis. Fuente: Wikimedia Commons
Edad:
N/A
Género:
Femenino
Ultrasonido

Imagen: Nevit Dilmen, Gallstone_0414092204515.jpg, Wikimedia Commons. Licencia CC BY-SA 3.0. Cambios: recorte y conversión a WEBP.
Discusión
La exploración ecográfica del hipocondrio derecho evidencia la vesícula biliar con contenido líquido y una litiasis única, con los hallazgos característicos en ecografía: formación hiperecogénica con sombra acústica posterior.
Créditos de la imagen:
Nevit Dilmen. Gallstone_0414092204515.jpg. Wikimedia Commons. Licencia: Creative Commons Atribución–CompartirIgual 3.0 (CC BY-SA 3.0). Cambios realizados: recorte y conversión a formato WEBP. Fuente: Wikimedia Commons (página del archivo).
