Guia para interpretar una radiografía de columna cervical
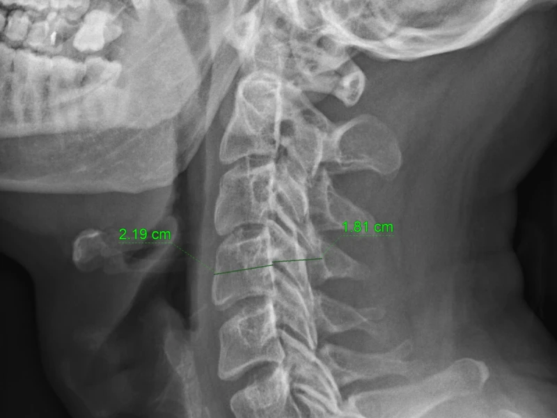
En trauma, la Rx cervical debe leerse con método y con humildad diagnóstica. La sistemática ABCD te ayuda a no omitir pasos: alineación, hueso, discos/articulaciones y partes blandas. La primera pregunta siempre es si el estudio es adecuado (cobertura C1–T1). Si hay signos de inestabilidad, déficit neurológico o sospecha clínica alta, la decisión se apoya en TC y RM según el objetivo.



