TC de cerebro: un enfoque sistemático

header-tc-cerebro

Introducción

La tomografía computada (TC) de cerebro es una de las pruebas de imagen más solicitadas en los servicios de urgencias y neurología. Se utiliza para descartar sangrados agudos, valorar traumatismos craneales, identificar infartos y muchas otras condiciones neurológicas. 

Sí estás dando los primeros pasos en Radiología, aprender a interpretar una TC de cerebro puede parecer intimidante al principio: muchas imágenes, cortes diferentes y términos técnicos que suenan abrumadores.

Sin embargo, la buena noticia es que no necesitas ser especialista en Diagnóstico por Imágenes para empezar a entender lo básico. Lo que sí necesitas es un método sistemático, una idea clara de la anatomía normal y algunas reglas prácticas para no olvidar puntos clave. 

En esta guía te propongo un recorrido paso a paso, pensado especialmente para quienes están comenzando, que combina la experiencia clínica con recursos sencillos de memorización.

*Sí eres de los qué aprenden mejor con material audiovisual te recomiendo ver el video asociado en nuestro canal de YouTube

Antes de empezar: qué tener en cuenta en toda TC de cerebro

Antes de lanzarse a describir una tomografía computada (TC) de cerebro, es fundamental detenerse un momento en los aspectos preliminares. 

Con estos pasos iniciales bien asentados, la lectura de una TC de cerebro se vuelve más ordenada y menos propensa a errores. No se trata solo de mirar “qué hay en el cerebro”, sino de situar las imágenes en un contexto clínico y técnico sólido.

Confirmar los datos del paciente y la calidad del estudio

Lo primero es verificar que el nombre y la edad del paciente coinciden con la solicitud clínica. Parece obvio, pero no siempre se hace. Una TC equivocada en el visor puede llevar a errores graves de interpretación. La edad también condiciona la lectura: un cerebro atrófico en un anciano puede parecer patológico si se interpreta sin este dato.

Después, conviene evaluar la calidad técnica del estudio. ¿El paciente estuvo inmóvil durante la adquisición? ¿Existen artefactos por movimiento o por objetos metálicos? Si la exploración tiene demasiados defectos técnicos, las conclusiones serán poco fiables. En muchos casos, no será posible repetir el examen, conviene entonces consignar estos defectos de técnica en el informe.

Las diferentes ventanas de visualización (cerebral, ósea, tejidos blandos)

La TC no es un bloque homogéneo de imágenes: se puede “jugar” con los valores de ancho y nivel de ventana para resaltar distintos tejidos. La ventana cerebral es la que más se utiliza para valorar parénquima y espacios de líquido cefalorraquídeo, pero te recomiendo siempre revisar todas las imágenes de manera sistemática con otros parámetros.

La ventana ósea permite ver con detalle fracturas lineales o hundimientos que, en la ventana cerebral, podrían pasar inadvertidos. Esto es especialmente relevante en el contexto de trauma craneoencefálico. 

Por su parte, la ventana para tejidos blandos resulta útil para revisar el cuero cabelludo, las órbitas o los senos paranasales, estructuras que a menudo quedan relegadas en la interpretación.

Es muy útil, sobre todo sí se sospecha una hemorragia, evaluar las imágenes con una ventana intermedia entre la del parénquima encefálico y el hueso, la qué podemos llamar “ventana subdural”. Te mostrará más claramente los hematomas extra axiales agudos.

Escanograma y cortes multiplanares

Muchos equipos generan una radiografía de exploración (escanograma o scout-view) antes de la adquisición. Esta imagen inicial aporta información sobre la morfología del cráneo, la presencia de cuerpos extraños o el tipo de proyección empleada. Revísala antes de adentrarse en los cortes axiales, ya que te puede ahorrar sorpresas posteriores.

Con los escáneres actuales, qué adquieren volúmenes de información, además de las imágenes axiales, puedes obtener reconstrucciones multiplanares (sagitales y coronales). Estas permiten valorar mejor algunas regiones complejas, como la base del cráneo o la fosa posterior. Tener a mano las reconstrucciones es una ventaja que conviene aprovechar.

Anatomía esencial para interpretar la TC

La interpretación de una tomografía de cerebro empieza por un requisito básico: conocer la anatomía normal. No se trata de memorizar cada surco o cada cisterna, sino de identificar puntos de referencia que nos permitan orientarnos en cortes axiales. 

Para simplificar esta tarea, existe un método muy utilizado que reduce la complejidad a solo tres niveles.

El método de los tres cortes axiales

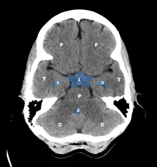
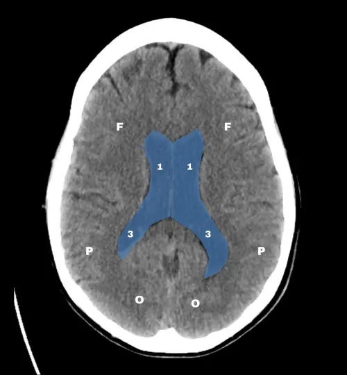
El doctor James Smirniotopoulos, neuroradiólogo y profesor universitario, propuso que bastaba con reconocer tres cortes axiales estratégicos para tener una idea global de la anatomía cerebral en la TC. 

Los tres niveles clave son: el tronco encefálico, los ganglios basales y los ventrículos laterales. Una vez dominados, resulta mucho más sencillo interpretar variaciones y detectar alteraciones.

Estructuras clave en cada nivel

En el corte del tronco encefálico, es importante ubicar la cisterna supraselar (con su forma en estrella de  cinco puntas), el cuarto ventrículo y las prolongaciones temporales de los ventrículos laterales.

En el nivel de los ganglios basales, se identifican los cuernos frontales de los ventrículos laterales, el tercer ventrículo, la cisterna cuadrigémina (con apariencia de “sonrisa”) y los núcleos profundos, caudado, lenticular y tálamo óptico

Por último, en el corte de los ventrículos laterales, conviene reconocer el septum pellucidum, la línea media y el cuerpo del núcleo caudado. 

Estos elementos son puntos de referencia para evaluar tanto la anatomía normal como desplazamientos o efectos de masa.

Simetría como criterio fundamental

El cerebro humano es simétrico en gran medida. Por eso, comparar un lado con el otro es la manera más sencilla de detectar anormalidades. 

Cualquier asimetría en densidad, tamaño o forma puede ser la primera pista de un proceso patológico. La simetría no sustituye al conocimiento anatómico, pero lo complementa con un recurso práctico y fiable para el ojo en formación.

El siguiente paso será aplicar una sistemática de lectura para evaluar la TC en busca de alteraciones que presenten patología.

Un sistema de lectura: la mnemotecnia ABBCS

En la evaluación de un examen de imágenes, lo peor que te puede pasar no es no reconocer una lesión, sino pasarla por alto por no seguir un método. 

La TC de cerebro tiene muchos detalles como para depender solo de la memoria visual o de la intuición. Por eso te recomiendo adoptar un esquema de lectura ordenado. 

En mi experiencia, una de las mnemotecnias más útiles es ABBCS, que resume los puntos clave a revisar en cada estudio. La tomé de la literatura anglosajona, y cada letra representa una característica a valorar: Asymmetry, Blood, Brain, CSF spaces y Skull/Scalp.

A – Asymmetry (asimetrías y desplazamientos de la línea media)

El primer paso es asegurarse de que el cerebro mantiene su simetría habitual. 

Al comparar hemisferio derecho con izquierdo, los bordes corticales y las estructuras profundas deberían verse en espejo. Una asimetría puede ser tan obvia como un desplazamiento de la hoz cerebral o tan sutil como un leve ensanchamiento ventricular unilateral. 

El signo de la línea media desplazada es fundamental, porque suele indicar efecto de masa por tumor, hematoma o edema. Te recomiendo acostumbrar el ojo a buscar esa línea recta y su posición: es un buen ejercicio inicial.

B – Blood (sangre: hemorragias agudas y evolución temporal)

La TC sin contraste es el estudio de elección para descartar hemorragias agudas. La sangre recién extravasada se ve hiperdensa (blanca), llamando inmediatamente la atención. El reto está en reconocer su localización: intraparenquimatosa, extraaxial (epidural o subdural) o subaracnoidea.

Además, la densidad de la sangre cambia con el tiempo: se vuelve isodensa en la fase subaguda y finalmente hipodensa en la crónica, lo que complica su detección. 

También conviene recordar signos indirectos como la “arteria hiperdenso”, típico de una arteria cerebral media, qué indica la presencia de un trombo, y es  un  signo temprano de ictus isquémico.

B – Brain (parénquima cerebral: densidades, tumores, edema, isquemia)

Tras descartar sangrado, toca examinar el parénquima. Aquí la comparación entre hemisferios vuelve a ser útil. 

Las hipodensidades localizadas suelen indicar edema o infarto, mientras que las hiperdensidades pueden corresponder a hemorragias, calcificaciones o algunos tumores como los meningiomas.

También es importante valorar la diferenciación sustancia gris–sustancia blanca: cuando esta frontera se pierde, suele deberse a edema difuso o a un infarto extenso. 

No hay que olvidar que incluso la presencia de aire intracraneal, frecuentemente asociado a fracturas del macizo craneofacial o del hueso temporal. Puede confundirse con cambios en la densidad si no se observa con atención.

C – CSF spaces (espacios de LCR: ventrículos, cisternas y surcos)

Los espacios de líquido cefalorraquídeo aportan mucha información indirecta. 

Unos ventrículos dilatados pueden sugerir hidrocefalia, mientras que su colapso puede deberse a hipertensión intracraneal. 

Las cisternas basales deben ser visibles y con morfología reconocible; si están borradas, probablemente el LCR fue reemplazado, por ejemplo por sangre, o existe efecto de masa.

La simetría vuelve a ser clave: surcos y cisternas deberían tener la misma amplitud en ambos lados. En el paciente anciano es normal encontrar ampliación de espacios por atrofia, pero en jóvenes este hallazgo debe alertar sobre la presencia de patología.

S – Skull & Scalp (hueso, fracturas y partes blandas)

Finalmente, aunque la atención se centre en el encéfalo, nunca debe olvidarse el cráneo y el cuero cabelludo. 

La ventana ósea es indispensable para detectar fracturas, y la de tejidos blandos ayuda a identificar hematomas extracraneales o lesiones orbitarias. El aire intracraneal es un hallazgo siempre patológico, indicador de fractura con comunicación con el exterior.

La revisión de las estructuras óseas y de partes blandas no solo completa la lectura, sino que también evita errores frecuentes, como confundir suturas normales con fracturas o pasar por alto una lesión en senos paranasales que explique la clínica.

Resumiendo. El ABBCS no es un truco mnemotécnico más: es un mapa de ruta que organiza la interpretación y reduce el riesgo de omitir hallazgos relevantes. Seguirlo cada vez qué evalúas una TC de cerebro te ayudará a construir un hábito sólido que, con el tiempo, se convertirá en un reflejo clínico.

Signos radiológicos clave en la TC de cerebro

Además del método sistemático, existen ciertos hallazgos que, por su relevancia clínica y su frecuencia, todo médico debería reconocer casi de inmediato. Estos signos radiológicos funcionan como “banderas rojas” que orientan la interpretación y marcan el rumbo del diagnóstico.

La pérdida de diferenciación sustancia gris–blanca

En condiciones normales, la sustancia gris se observa ligeramente más densa que la sustancia blanca. Esta diferencia, aunque sutil, es fundamental. Su pérdida constituye uno de los signos más precoces de daño cerebral, sobre todo en el contexto de isquemia. 

En un infarto agudo, por ejemplo, el edema en la corteza reduce su densidad, que se aproxima a la de la sustancia blanca, dificultando distinguir sus límites. Reconocer esta alteración temprana es crucial, ya que puede pasar inadvertida si se observa la TC de manera superficial.

Hiperdensidad de la arteria cerebral media

Otro hallazgo clásico es el signo de la arteria cerebral media hiperdensa. Se trata de la visualización anómala de un segmento arterial más blanco de lo habitual, consecuencia de un trombo en su interior. 

Aunque no siempre está presente, cuando aparece es altamente sugestivo de ictus isquémico en fase inicial. Para detectarlo, se requiere atención al comparar densidades y evitar confundirlo con variaciones normales del flujo o con artefactos.

Signos indirectos de fractura y de hipertensión intracraneal

No todas las fracturas son evidentes. A veces, los únicos indicios son indirectos: aire intracraneal fuera de las cavidades habituales, niveles hidroaéreos en senos paranasales o un hematoma subgaleal en el cuero cabelludo. Estos detalles obligan a revisar la TC con ventanas adecuadas y sin limitarse al parénquima.

En cuanto a la hipertensión intracraneal, los signos radiológicos más llamativos son el borramiento de cisternas basales, el colapso ventricular y el desplazamiento de la línea media. Aunque no sustituyen a la evaluación clínica, estos hallazgos aportan información inmediata sobre la gravedad del cuadro.

Conclusión

En definitiva, interpretar una TC de cerebro es un proceso que combina orden, observación y sentido clínico. Con un método claro y la disposición a seguir aprendiendo, la lectura de estas imágenes deja de ser un terreno intimidante y se convierte en una competencia alcanzable, útil y fundamental en la formación médica.

Reconocer una hemorragia aguda, detectar un desplazamiento de la línea media o sospechar un infarto precoz son habilidades que pueden marcar la diferencia en un servicio de urgencias. La mnemotecnia ABBCS, junto con la atención a los signos radiológicos clave, constituyen herramientas simples pero potentes para estructurar ese aprendizaje.

Por supuesto, la experiencia se construye con la práctica. Ninguna guía sustituye al ejercicio constante de revisar casos, comparar con informes y, sobre todo, correlacionar los hallazgos con la clínica del paciente. La TC no habla por sí sola: requiere del ojo crítico y del razonamiento médico que cada estudiante irá cultivando con el tiempo.

Referencias

Sandra Rocío Ochoa Barajas, MD. Uso de las imágenes diagnósticas en el trauma craneoencefálico. MedUNAB, Vol. 15 Núm.1. Abril-Julio 2012 Pags. 53-62 Disponible en https://www.imbiomed.com.mx/articulo.php?id=115516 

Jones J, Bell D, Murphy A, et al. CT head (an approach). Reference article, Radiopaedia.org (Accessed on 11 Aug 2023) https://doi.org/10.53347/rID-8998
James Smirniotopoulos. Acute Brain Imaging – The 3 Slice Method. Disponible en línea en https://www.youtube.com/watch?v=0JJFkNkzuYg

Dejá un comentario

Tu dirección de correo electrónico no será publicada. Los campos obligatorios están marcados con *

Scroll al inicio