Mnemotecnias en Radiología 2.0
Cómo usar reglas mnemotécnicas y checklists para interpretar imágenes médicas con una sistemática reproducible (sin perder el razonamiento clínico)
*Este es un artículo básico para estudiantes de Medicina y otras Ciencias de la Salud.
- Mnemotecnias en Radiología 2.0
- Introducción
- ¿Qué es una mnemotecnia en radiología y para qué sirve?
- Mnemotecnias vs. checklist: ¿son lo mismo?
- Mnemotecnias: para no olvidar, no para “adivinar”
- Cómo usar una mnemotecnia sin caer en errores frecuentes
- Cómo organizamos las mnemotecnias en Radiología 2.0
- Mnemotecnias disponibles y en desarrollo
- Resumen
- Puntos clave
- Referencias
- Artículos relacionados
Introducción
En la práctica diaria, muchos errores en la interpretación de imágenes no ocurren por falta de conocimiento, sino por omisiones: saltarse pasos, revisar estructuras en un orden distinto cada vez, o “cerrar” el estudio apenas aparece un hallazgo llamativo. Por eso, en Radiología 2.0 promovemos un hábito muy concreto: leer con una sistemática fija.
Las mnemotecnias y las checklists son herramientas educativas para sostener esa sistemática. No reemplazan el razonamiento diagnóstico: lo estructuran, especialmente cuando estás empezando o cuando interpretas estudios en contexto de urgencias.
En las guías “Cómo interpretar…”, el paso de identificación del paciente, verificación del estudio y evaluación de la calidad técnica se aborda en el artículo general “Guia para interpretar una radiografía”, para evitar repeticiones.
¿Qué es una mnemotecnia en radiología y para qué sirve?
Una mnemotecnia es un recurso para recordar una secuencia de revisión: estructuras, “zonas ciegas”, pasos o diagnósticos que deben considerarse. Su valor está en ayudarte a recorrer siempre lo importante en un orden constante.
En radiología musculoesquelética, Helms lo explica con claridad: las reglas mnemotécnicas son útiles para recordar listas largas, y pone como ejemplo FEGNOMASHIC para el diagnóstico diferencial de lesiones líticas benignas.
Pero hay un matiz clave: una mnemotecnia no es un diagnóstico. Es una forma de no olvidar posibilidades (o estructuras). Para volverla útil en el mundo real necesitas un segundo paso: aplicar criterios que reduzcan esa lista.
Mnemotecnias vs. checklist: ¿son lo mismo?
Son herramientas emparentadas:
- Mnemotecnia: una “clave” (ABCD, ABCDEF, ABDO-X, etc.) que recuerda un orden.
- Checklist: la misma lógica en formato lista (ideal para imprimir o guardar en el teléfono).
En Radiología 2.0 usamos ambas. Por eso, en cada post de mnemotecnia vas a encontrar un PDF descargable con la checklist, pensada para consulta rápida.
Mnemotecnias: para no olvidar, no para “adivinar”
Una idea que vale la pena dejar explícita (porque evita malos hábitos) es esta:
- La mnemotecnia te asegura cobertura (que revises todo).
- El diagnóstico real se construye con criterios discriminadores: edad, localización, patrón, número de lesiones, reacción perióstica, partes blandas, etc.
Helms lo plantea de forma muy práctica: el reconocimiento de patrones (“tía Minnie”) puede servir, pero puede fallar si no se acompaña de lógica; y los diferenciales interminables dejan de ser útiles. Por eso propone listas manejables y un enfoque pragmático: recordar posibilidades con una regla, y luego reducir usando criterios. En el mismo fragmento incluye una tabla de “criterios diferenciadores” para pasar de la lista a la decisión razonada.
Cómo usar una mnemotecnia sin caer en errores frecuentes
1) Úsala siempre, incluso si ya encontraste “algo”
El hallazgo inicial puede distraer. La sistemática está para obligarte a terminar el recorrido.
2) Respeta el mismo orden cada vez
La herramienta funciona cuando se vuelve hábito. Si cambias el orden según el caso, vuelves a depender de la memoria y aumenta el riesgo de omitir.
3) Distingue “lista” de “decisión”
La mnemotecnia ordena la búsqueda. La conclusión requiere integrar: hallazgos + contexto clínico + limitaciones del estudio.
4) Si la calidad técnica es insuficiente, dilo antes de concluir
En tu serie “Cómo interpretar…”, esto se resuelve con el enlace al post general para evitar repeticiones.
Cómo organizamos las mnemotecnias en Radiología 2.0
Tomamos como referencia la lógica editorial de Radiopaedia: una mnemotecnia debe tener su post canónico (explicación completa), y los artículos aplicados (“Cómo interpretar…”) solo deben:
- mencionarla brevemente dentro de la “Sistemática de lectura”, y
- enlazar al post de mnemotecnia donde está el detalle + checklist PDF.
Estructura del ecosistema:
- Guía “Cómo interpretar…” (aplicación práctica por región / modalidad)
- Post de mnemotecnia (qué significa cada letra, trampas, límites, ejemplos)
- Checklist PDF descargable (para consulta rápida)
Mnemotecnias disponibles y en desarrollo
Donde diga “(próximamente)” es contenido ya planificado para publicar dentro de la serie.
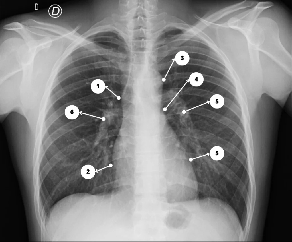
Radiografía de tórax
- ABCDEF — Post de mnemotecnia (publicado): “Informe de la radiografía de tórax: Mnemotecnia ABCDEF”.
- Guía aplicada (publicada): “Cómo interpretar una radiografía de tórax”.
Radiografía de abdomen
Radiografía de columna
- ABCD – (próximamente)
Radiografía osteoarticular
TC de cráneo sin contraste
- Blood Can Be Very Bad — (próximamente)
Ecografía FAST / eFAST
Resumen
Las mnemotecnias y checklists en Radiología 2.0 son herramientas para leer con una sistemática fija, disminuir omisiones y sostener el aprendizaje. La mnemotecnia asegura cobertura; la checklist lo vuelve repetible; y los criterios discriminadores son los que convierten una lista en interpretación clínica útil. Helms refuerza esta filosofía: una regla ayuda a recordar, pero el valor real aparece cuando se combina con criterios para recortar el diferencial.
Puntos clave
- Una mnemotecnia organiza una secuencia de revisión; no reemplaza el razonamiento.
- La checklist es la versión “de bolsillo” para no depender de la memoria.
- La mnemotecnia sola es una lista; debes aplicarle criterios discriminadores.
- En Radiología 2.0, cada mnemotecnia tendrá su post canónico + PDF descargable.
Referencias
- Helms CA. Fundamentos de Radiología del Esqueleto (de bolsillo). 3ª edición. Marbán. ISBN 84-7101-015-0 (EAN/ISBN-13: 978-84-7101-015-0).
- Jones J, Gaillard F, Murphy A, et al. Mnemonics article structure. Reference article, Radiopaedia.org (Accessed on 06 Mar 2026) https://doi.org/10.53347/rID-22279

Esta obra está bajo Licencia Creative Commons Atribución 4.0 Internacional (CC BY 4.0) / This work is licensed under a Creative Commons Attribution 4.0 International License
