Litiasis coraliforme bilateral
Presentación
Consulta en urgencias por dolor lumbar intenso de inicio súbito, compatible con cólico renal.
Edad:
N/A
Género:
Femenino
Radiología
Rx de arbol urinario. Se observan calcificaciones en proyeccion de ambas sombras renales.
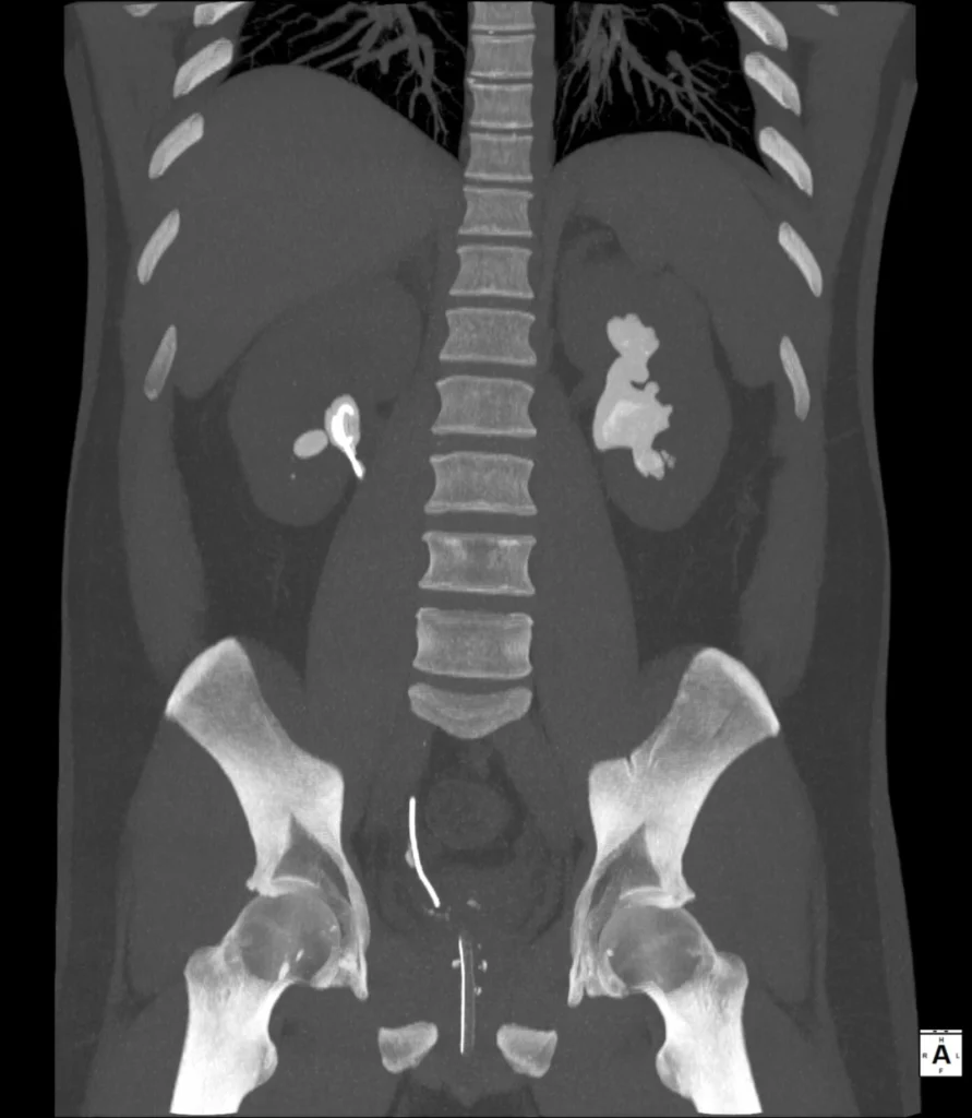
Radiología

TC abdomen sin medio de contraste. MPR que muestra el extenso “molde” calicopielico a izquierda. Otras liatiasis en pelvi sy calices inferiore a derecha.
Discusión
La litiasis coraliforme, también denominada cálculo coraliforme o en “asta de ciervo”, corresponde a una concreción cálcica que ocupa parcial o totalmente el sistema pielocalicial, adoptando una morfología ramificada que reproduce la anatomía de la pelvis y los cálices renales.
En la radiografía simple de abdomen, estos cálculos pueden identificarse como imágenes hiperdensas de contornos irregulares y distribución característica sobre la topografía renal. La morfología ramificada constituye un elemento clave para diferenciarlos de otras calcificaciones abdominales, como flebolitos, calcificaciones vasculares o adenopatías calcificadas.
La tomografía computarizada sin contraste es el método de elección para la evaluación de la litiasis urinaria en el contexto de cólico renal. Permite confirmar la naturaleza cálcica de las lesiones, determinar su extensión dentro del sistema colector y valorar posibles complicaciones asociadas, como obstrucción o dilatación pielocalicial. Las reconstrucciones multiplanares facilitan la apreciación de la configuración coraliforme y su compromiso bilateral.
La correlación entre radiografía simple y TC resulta especialmente ilustrativa desde el punto de vista docente: mientras la radiografía permite sospechar el diagnóstico por la densidad y la morfología de las calcificaciones, la tomografía confirma con precisión su localización anatómica y extensión.
Diagnósticos Diferenciales
Diagnósticos diferenciales
1. Nefrocalcinosis
La nefrocalcinosis se caracteriza por depósitos cálcicos difusos en el parénquima renal, habitualmente bilaterales y más homogéneos. A diferencia de la litiasis coraliforme, no adopta una morfología ramificada que reproduzca el sistema pielocalicial.
2. Múltiples litiasis renales no coraliformes
La presencia de múltiples cálculos renales puede proyectarse sobre la topografía renal en la radiografía simple. Sin embargo, en la litiasis coraliforme las calcificaciones confluyen y ocupan la pelvis y los cálices, adoptando una configuración continua y ramificada.
3. Calcificaciones vasculares abdominales
Las calcificaciones arteriales (aorta o arterias renales) pueden simular litiasis en la radiografía simple. No obstante, su trayecto lineal y su localización vascular permiten diferenciarlas de las calcificaciones intrarrenales en la TC.
4. Flebolitos pélvicos
En radiografía simple, los flebolitos pueden confundirse con litiasis urinaria. Sin embargo, suelen localizarse en la pelvis, presentan contornos redondeados y, en ocasiones, un centro radiolúcido característico. La TC confirma su localización extrarrenal.
