Consolidación del lóbulo inferior izquierdo
Presentación
Paciente que consulta por tos y fiebre.
Edad:
N/A
Género:
Femenino
Radiología

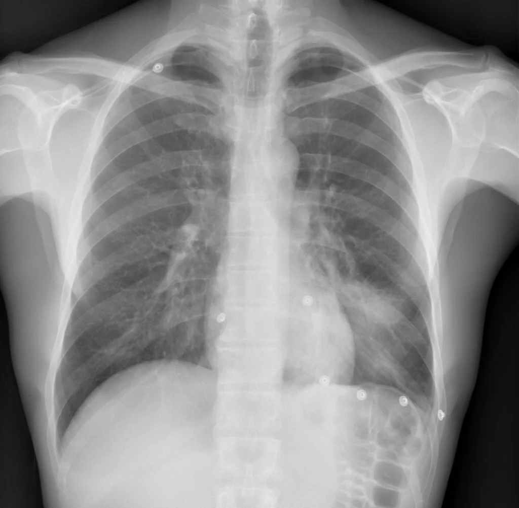
Rx de tórax PA. Aumento de la densidad en el sector inferior del pulmón izquierdo, por ocupación del espacio aéreo. El borde izquierdo del corazón se puede ver claramente. En el tercio inferior del hemitórax izquierdo, se observan las imágenes de alta densidad que corresponden a electrodos posicionados para el ECG.
Radiología

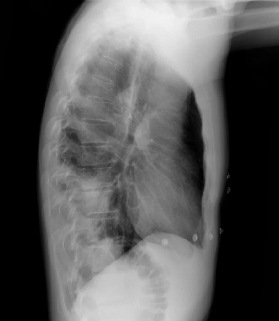
Rx de tórax LL. La opacidad se proyecta en el sector posteroinferior, confirmando la localización de la consolidación en el lóbulo inferior izquierdo, sugerida por el signo de la silueta negativo.
Discusión
Opacidad del parénquima pulmonar con broncograma aéreo, en la proyección PA se observa en el tercio inferior del pulmón, en la proyección lateral ocupa el sector posteroinferior.
El borde cardíaco está bien definido (signo de la silueta negativo), lo que indica que la localización de la condensación es posterior, por lo tanto, en segmentos basales del lóbulo inferior izquierdo.
Otro signo radiológico qué se puede ver en la proyección lateral es el signo de la columna densa, por la suma de la densidad de la consolidacion. Normalmente los cuerpos vertebrales más distales deberían verse más radiolúcidos qué los proximales (mayor espesor de las bases pulmonares comparadas con los vértices).
