CASOS
Casos
Los casos clínicos presentados corresponden a ejemplos seleccionados de la práctica radiológica, con fines educativos y de actualización profesional. Cada caso incluye hallazgos relevantes, diagnóstico diferencial y comentarios orientados al razonamiento radiológico. Todo el material ha sido anonimizado y se publica respetando los criterios de confidencialidad y privacidad del paciente.
Signo del collar de perlas
Titulo del caso Presentación Edad: N/A Género: Femenino Rx de abdomen AP con paciente en…
Luxación glenohumeral anterior
Luxación glenohumeral anterior Presentación Edad: N/A Género: Femenino Radiografia de hombro izquierdo, proyecciones AP. La…
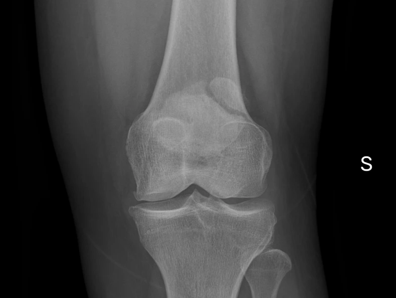
Rótula bipartita
Titulo del caso Presentación Edad: N/A Género: Femenino Discusión Diagnósticos Diferenciales Artículos
Cardiomediastino en la radiografía de tórax (imágenes anotadas)
Cardiomediastino en la radiografía de tórax (imágenes anotadas) Presentación Edad: N/A Género: Femenino Licencia: Mediastinal…
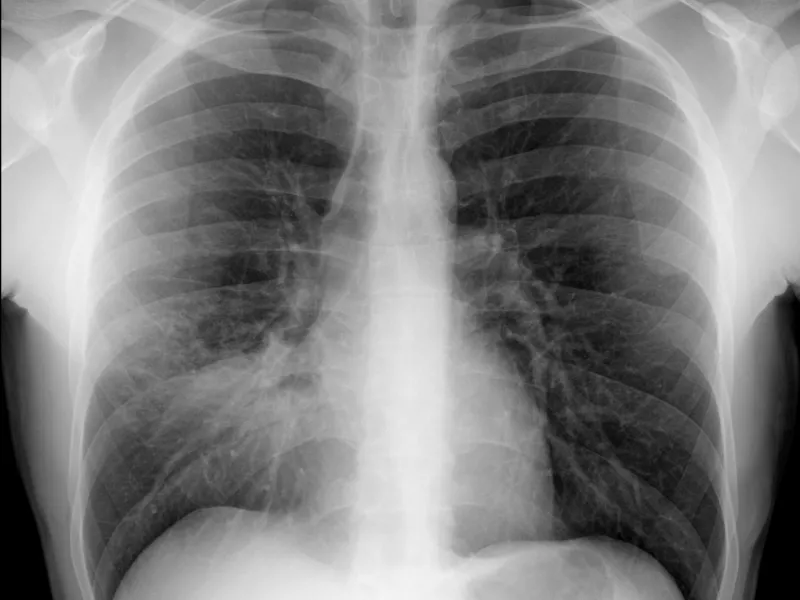
Bordes del cardiomediastino en la radiografía de tórax
Bordes del cardiomediastino en la radiografía de tórax Presentación Edad: N/A Género: Femenino Mediastino en…
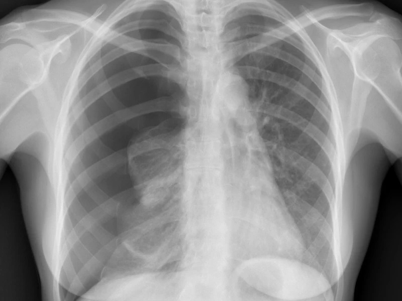
Hernia hiatal
Hernia hiatal Presentación Edad: N/A Género: Femenino Rx de tórax PA. Se observa un nivel…
Consolidación del lóbulo inferior izquierdo
Consolidación del lóbulo inferior izquierdo Presentación Edad: N/A Género: Femenino Rx de tórax PA. Aumento…
Consolidación del lóbulo medio – Signo de la silueta positivo
Consolidación del lóbulo medio – Signo de la silueta positivo Presentación Edad: N/A Género: Femenino…
Neumotórax a tensión
Neumotórax a tensión Presentación Edad: N/A Género: Femenino Rx de tórax PA en inspiración. Hipertransparencia,…